Université d’Antananarivo
Accueil
Thèses
Mémoires
Statistiques
recherche
Connexion
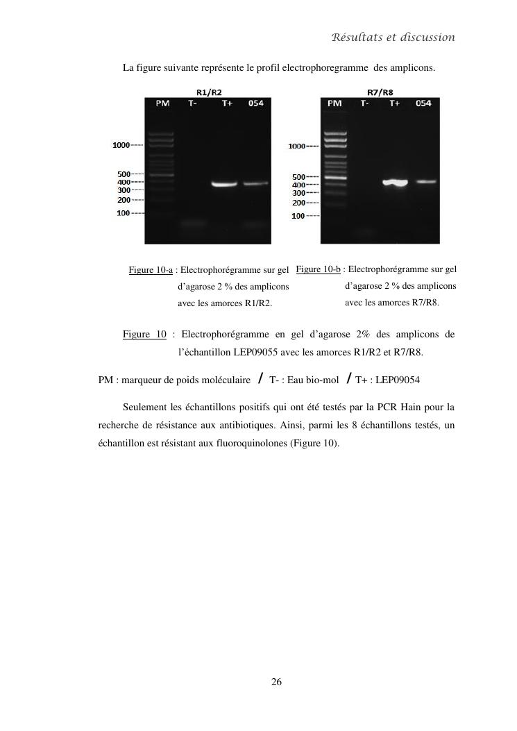
methodes de diagnostic de la lepre et detection de la resistance aux antilepreux